Case Twelve – December 2017
- 67 year old male presented with a subcutaneous changing mass on his glabella.
- Basal cell carcinoma
- Cyst

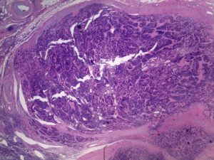
Sections show a nodular neoplasm composed of aggregates of basaloid cells with a “jigsaw-like” pattern and surrounding bands of eosinophilic basement membrane material.

The tumor aggregates show two cell populations. The peripheries of the islands show smaller cells with occasional palisading and a dark nucleus. The cells in the center of the aggregates are larger with vesicular nuclei. Admixed droplets of basement membrane material are also seen.
Cylindroma
- Cylindroma is a benign adnexal tumor that most commonly presents as a solitary lesion on the head and neck region of middle-aged to elderly individuals
- Multiple cylindromas can be seen in familial cylindromatosis and Brooke-Spiegler syndrome
- Both syndromes are caused by mutations in the CYLD gene
- Brooke Spiegler syndrome is an autosomal dominant disorder characterized by multiple trichoepitheliomas and multiple cylindromas; multiple spiradenomas and lesions showing overlapping features of both cylindroma and spiradenoma can also be seen
- Histopathology of cylindroma shows nodular basaloid aggregates of tumor cells within the dermis surrounded by eosinophilic basement membrane material. The islands of tumor cells often appear to compress one another resulting in the characteristic “jigsaw-like” growth pattern
- The basement membrane material seen within cylindromas is composed of collagen IV and collagen VII
- The basaloid tumor aggregates show two cell populations. The peripheries of the islands show smaller cells with occasional palisading and a dark nucleus. The cells in the center of the aggregates are larger with vesicular nuclei and pale cytoplasm.
- The tumor aggregates often contain droplets of basement membrane material and ductal structures
- Cylindromas can occasionally show locally aggressive behavior or malignant transformation, especially in long-standing lesions on the scalp
- Cylindroma is a benign adnexal tumor that most commonly presents as a solitary lesion on the head and neck region of middle-aged to elderly individuals
- Multiple cylindromas can be seen in familial cylindromatosis and Brooke-Spiegler syndrome
- Histopathology of cylindroma shows nodular basaloid aggregates of tumor cells within the dermis surrounded by eosinophilic basement membrane material. The islands of tumor cells often appear to compress one another resulting in the characteristic “jigsaw-like” growth pattern
- The basloid tumor aggregates show two cell populations. The peripheries of the islands show smaller cells with occasional palisading and a dark nucleus. The cells in the center of the aggregates are larger with vesicular nuclei and pale cytoplasm.
- Cylindromas can occasionally show locally aggressive behavior or malignant transformation, especially in long-standing lesions on the scalp